Mài răng bọc sứ bị ê buốt phải làm sao?
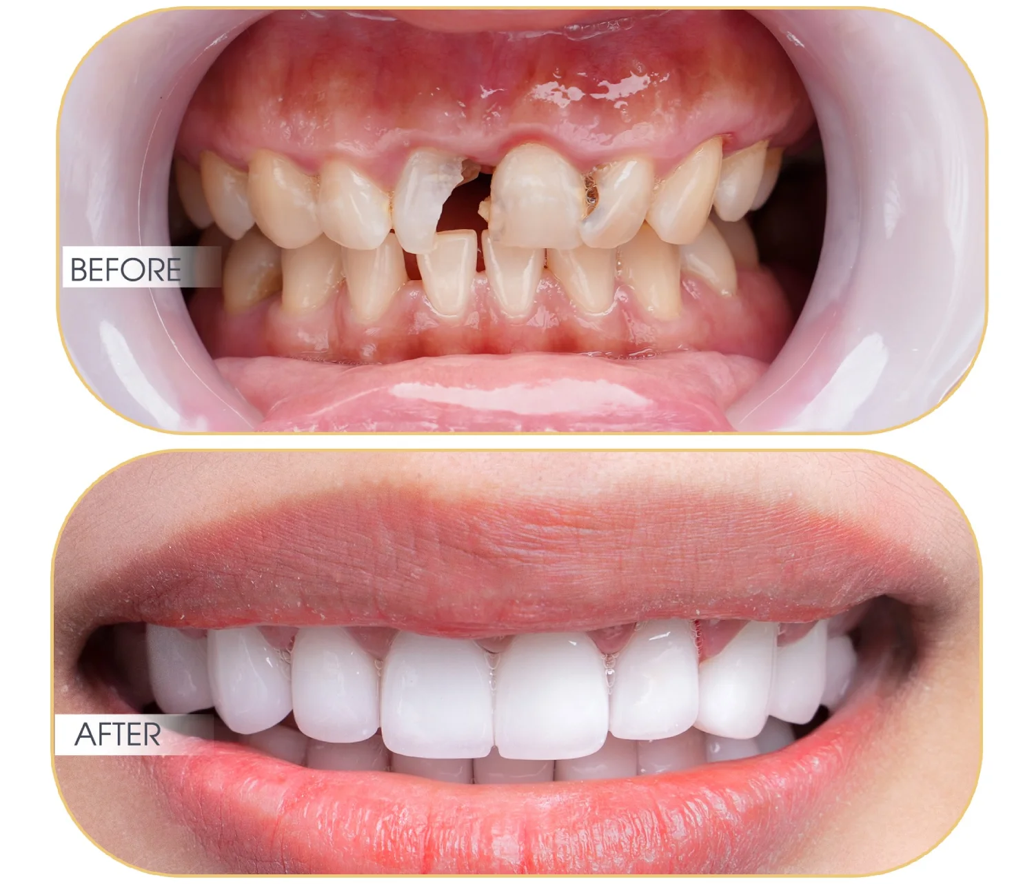
Bọc răng sứ là phương pháp cần mài chỉnh răng thật để điều chỉnh dáng răng và tạo độ bám dính cho mão sứ. Thông ...
Xem thêm
Bọc răng sứ là phương pháp cần mài chỉnh răng thật để điều chỉnh dáng răng và tạo độ bám dính cho mão sứ. Thông ...
Xem thêmBọc răng sứ là giải pháp phục hình răng thẩm mỹ được nhiều người ưa chuộng hiện nay để mang lại sự tự tin, ...
Xem thêm
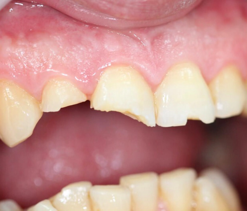
Gãy răng chỉ còn chân răng bọc răng sứ được không là vấn đề mà nhiều khách hàng quan tâm, bởi tình trạng này gây ...
Xem thêm
Tình trạng hai răng cửa bị hô gây ảnh hưởng không nhỏ đến thẩm mỹ khuôn mặt và sự tự tin trong giao tiếp. Nhiều ...
Xem thêm
Răng cửa đóng vai trò quan trọng trong thẩm mỹ tổng thể của khuôn mặt, giúp bạn tự tin hơn trong giao tiếp và cuộc ...
Xem thêm
Bọc răng sứ là một giải pháp làm đẹp hiệu quả được nhiều khách hàng yêu thích và lựa chọn. Tuy nhiên, không phải ...
Xem thêm
Răng sâu là một trong những bệnh lý răng miệng phổ biến không chỉ gây đau nhức, khó chịu mà còn ảnh hưởng đến ...
Xem thêm
Một trong những vấn đề thường gặp sau khi bọc răng sứ là tình trạng ê buốt răng. Tình trạng này có thể kéo dài ...
Xem thêm
Sau khi bọc răng sứ, nhiều khách hàng gặp phải tình trạng răng sứ bị lung lay, dẫn tới việc khó sinh hoạt và vệ sinh, ...
Xem thêm
Sâu răng là một bệnh lý răng miệng phổ biến mà hầu như ai cũng có nguy cơ mắc phải, gây ảnh hưởng tới sức khoẻ ...
Xem thêm
Trong quá trình sử dụng răng sứ, vì một số nguyên nhân mà răng sứ vẫn có khả năng bị ố vàng, xỉn màu. Vậy, răng ...
Xem thêm
Bọc răng sứ là quá trình thẩm mỹ nha khoa giúp cải thiện nụ cười và phục hồi chức năng ăn nhai của hàm răng. Tuy ...
Xem thêmX

