Chi phí bọc răng sứ răng cửa bao nhiêu tiền? Nên bọc loại nào?
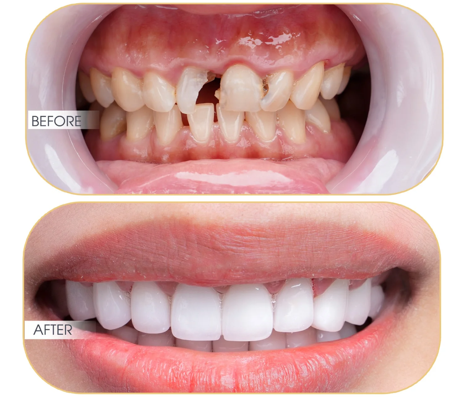
Răng cửa là điểm chạm của mọi ánh mắt khi nhìn thấy nụ cười của bạn, do đó, rất nhiều khách hàng mong muốn cải ...
Xem thêm
Răng cửa là điểm chạm của mọi ánh mắt khi nhìn thấy nụ cười của bạn, do đó, rất nhiều khách hàng mong muốn cải ...
Xem thêm
Khi nói đến làm răng sứ, một trong những câu hỏi phổ biến mà nhiều người quan tâm là "Làm một cái răng sứ bao nhiêu ...
Xem thêm
Khi nhắc đến bọc răng sứ thẩm mỹ, nhiều người đã nghĩ đến “viễn cảnh” một hàm răng trắng sáng, tự nhiên và ...
Xem thêm
Răng sứ Orodent được mệnh danh là dòng răng sứ an toàn nhất thế giới và là một trong những sản phẩm răng sứ TOP ...
Xem thêm
Bọc răng toàn sứ Zirconia luôn là một trong những đề tài được bàn tán sôi nổi bởi những thông tin đa chiều xung quanh ...
Xem thêm
Bọc răng sứ là phương pháp làm đẹp không những mang lại nụ cười tự nhiên, mà còn giúp người dùng cải thiện chức ...
Xem thêm
Răng toàn sứ DDBio là một trong những dòng răng toàn sứ cao cấp nhất được nhiều khách hàng tin dùng và lựa chọn hiện ...
Xem thêm
Trong những năm gần đây, bọc răng sứ Orodent trở thành lựa chọn hàng đầu của nhiều khách hàng bởi tính thẩm mỹ ...
Xem thêm
Răng sứ thẩm mỹ toàn sứ là giải pháp hoàn hảo giúp bạn kiến tạo lại nụ cười tự tin và phục hồi khả năng ăn ...
Xem thêm
Răng sứ DDBio là một trong những dòng răng toàn sứ cao cấp được tin dùng hiện nay. Tuy nhiên, nhiều người vẫn còn băn ...
Xem thêm
Trong một vài năm trở lại đây, răng sứ Zirconia trở thành lựa chọn phổ biến cho nhiều khách hàng bởi độ bền cao và ...
Xem thêm
Thẩm mỹ răng sứ đã trở thành xu hướng phổ biến trong lĩnh vực nha khoa hiện nay, đem lại cơ hội sở hữu một nụ ...
Xem thêmX

