Răng sứ Orodent là gì? Có tốt không? Khi nào nên chọn?
Khi nhu cầu về nụ cười không chỉ đẹp mà còn an toàn, bền vững ngày càng tăng, răng sứ Orodent đã trở thành lựa ...
Xem thêm
Khi nhu cầu về nụ cười không chỉ đẹp mà còn an toàn, bền vững ngày càng tăng, răng sứ Orodent đã trở thành lựa ...
Xem thêm
Khi cần lựa chọn địa chỉ nha khoa uy tín cho sức khỏe răng miệng và thẩm mỹ nụ cười, nhiều người đặt câu hỏi: ...
Xem thêm
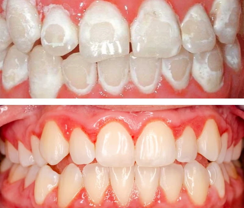
Mặt dán sứ Veneer siêu mỏng đang là giải pháp thẩm mỹ nụ cười được ưa chuộng hàng đầu nhờ khả năng mang lại ...
Xem thêm
Khi răng đau nhức dữ dội, ê buốt kéo dài hoặc bị tổn thương nặng, điều trị tủy răng thường là giải pháp được ...
Xem thêm
Dán sứ Veneer là giải pháp thẩm mỹ nụ cười tiên tiến, được nhiều bạn quan tâm để có hàm răng trắng đẹp mà ...
Xem thêm
Sau khi đầu tư sở hữu nụ cười rạng rỡ với bọc răng sứ thẩm mỹ, cách chăm sóc đúng cách là yếu tố then chốt ...
Xem thêm
Bạn mơ ước sở hữu nụ cười rạng rỡ với mặt dán sứ Veneer siêu mỏng? Nhưng những lo lắng về ê buốt kéo dài, ...
Xem thêm
Trồng răng Implant được xem là giải pháp khôi phục răng mất ưu việt nhất trong nha khoa hiện đại, mang lại nhiều lợi ...
Xem thêm
Khi răng gặp vấn đề nghiêm trọng, gây đau nhức kéo dài, nhiều người phân vân giữa việc giữ lại hay nhổ bỏ cho ...
Xem thêm
Nhiều bạn mong muốn sở hữu một nụ cười rạng rỡ, đều đẹp nhưng vẫn trân trọng giá trị của răng thật khỏe ...
Xem thêm
Mất răng không chỉ ảnh hưởng đến thẩm mỹ nụ cười mà còn tác động tiêu cực đến chức năng ăn nhai và sức ...
Xem thêm
Trồng răng Implant (hay cấy ghép Implant) được công nhận là giải pháp phục hồi răng mất tiên tiến và hiệu quả nhất ...
Xem thêmX

