Có nên làm răng sứ không? Lợi ích, rủi ro & tư vấn từ chuyên gia
Làm răng sứ là một trong những giải pháp thẩm mỹ nha khoa được nhiều người lựa chọn để nhanh chóng sở hữu nụ ...
Xem thêm
Làm răng sứ là một trong những giải pháp thẩm mỹ nha khoa được nhiều người lựa chọn để nhanh chóng sở hữu nụ ...
Xem thêm
Khi cân nhắc bọc răng sứ, hai câu hỏi thường trực trong tâm trí nhiều người là "Quy trình bọc răng sứ mất bao lâu?" ...
Xem thêm
Khi cân nhắc bọc răng sứ để cải thiện nụ cười, nhiều người thường phân vân giữa răng sứ Zirconia và răng sứ kim ...
Xem thêm
Làm răng sứ hiện đang là phương pháp thẩm mỹ nha khoa được ưa chuộng hàng đầu, giúp nhiều người sở hữu nụ ...
Xem thêm
Nụ cười đẹp với hàm răng trắng sáng, đều đặn đang trở thành nhu cầu ngày càng phổ biến trong cuộc sống hiện ...
Xem thêm
Trong vô vàn lựa chọn răng sứ Zirconia hiện nay, răng sứ DDBio - thương hiệu nổi bật đến từ Đức đang thu hút sự quan ...
Xem thêm
Nỗi sợ cảm giác đau đớn thường là rào cản tâm lý lớn khiến nhiều người chần chừ khi nghĩ đến việc bọc răng ...
Xem thêm
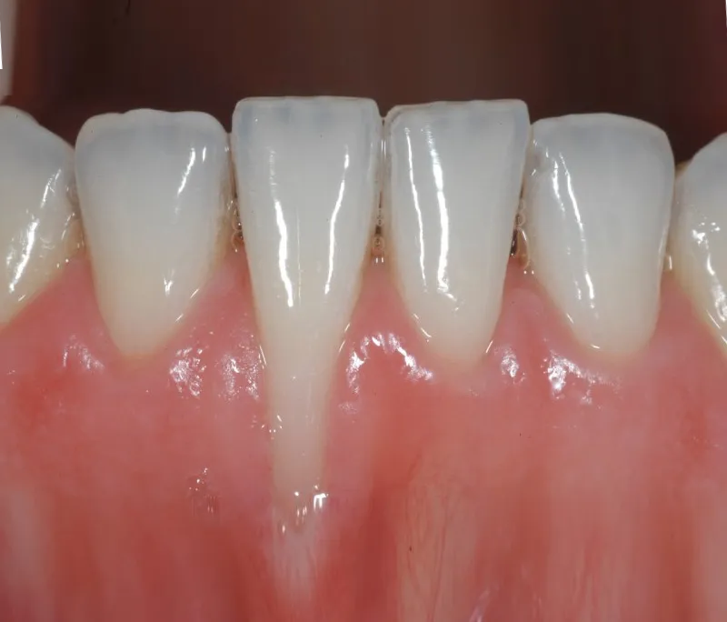
Vấn đề tụt lợi không chỉ gây ê buốt, khó chịu mà còn ảnh hưởng đến thẩm mỹ nụ cười. Bạn đang có ý định ...
Xem thêm
Nổi tiếng với độ bền vượt trội và thẩm mỹ tự nhiên, răng sứ Cercon HT đang là lựa chọn hàng đầu của nhiều ...
Xem thêm
Đau răng dữ dội? Răng ê buốt kéo dài khi ăn đồ nóng lạnh? Đó có thể là những dấu hiệu cảnh báo tủy răng của ...
Xem thêm
Bọc răng sứ thẩm mỹ đang trở thành giải pháp được nhiều người tin chọn để cải thiện nụ cười rạng rỡ và ...
Xem thêm
Bọc răng sứ nguyên hàm là một giải pháp thẩm mỹ nha khoa mang lại sự thay đổi ngoạn mục cho nụ cười của bạn. Tuy ...
Xem thêmX

