Bọc răng sứ có đau không? Giải đáp chi tiết mọi lo lắng của bạn
"Bọc răng sứ có đau không?" – đây có lẽ là câu hỏi đầu tiên xuất hiện trong tâm trí nhiều người khi cân nhắc ...
Xem thêm
"Bọc răng sứ có đau không?" – đây có lẽ là câu hỏi đầu tiên xuất hiện trong tâm trí nhiều người khi cân nhắc ...
Xem thêm
Răng sứ HT Smile là một trong những cái tên nổi bật khi nhắc đến các giải pháp phục hình răng thẩm mỹ cao cấp. Vậy ...
Xem thêm
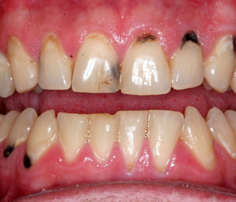
Nhu cầu làm đẹp nụ cười bằng phương pháp bọc răng sứ ngày càng phổ biến. Tuy nhiên, không ít người đã gặp phải ...
Xem thêm
Bạn đang phân vân không biết có nên làm răng sứ không? Bạn nghe nói về những lợi ích thẩm mỹ tuyệt vời nhưng cũng ...
Xem thêm
Chiếc răng sứ bạn đã làm cách đây vài năm giờ đây không còn mang lại nụ cười tự tin như trước? Có thể bạn đang ...
Xem thêm
Nhu cầu sở hữu nụ cười trắng sáng, đều đẹp ngày càng tăng cao, kéo theo sự bùng nổ của các dịch vụ thẩm mỹ ...
Xem thêm
Răng ố vàng, sứt mẻ hay các vấn đề khác có thể khiến các mẹ bầu cảm thấy ngại ngần. Bạn mong muốn thực hiện ...
Xem thêm
Bạn đang sở hữu nụ cười rạng rỡ sau khi bọc răng sứ, nhưng không may lại gặp phải tình trạng răng sứ bị mẻ, ...
Xem thêm
Bạn vừa bọc răng sứ và thắc mắc liệu có thể ăn đồ cứng được không? Đây là câu hỏi nhiều người quan tâm khi ...
Xem thêm
Bạn cảm thấy lợi bị sưng đỏ, đau nhức hoặc chảy máu chân răng sau khi bọc răng sứ? Đừng quá lo lắng, vì đây là ...
Xem thêm
Một ngày bạn nhận ra răng sứ bị hỏng, sứt mẻ, hoặc thậm chí lung lay, khiến bạn lo lắng và mất tự tin? Đừng quá ...
Xem thêm
Răng sứ bị lung lay là vấn đề khiến không ít người cảm thấy lo lắng và bất an sau khi thực hiện phục hình răng. ...
Xem thêmX

