Răng khấp khểnh có làm răng sứ được không?
Tình trạng răng khấp khểnh đôi khi làm bạn cảm thấy tự ti khi giao tiếp với người đối diện. Nhưng nhờ phương pháp ...
Xem thêm
Tình trạng răng khấp khểnh đôi khi làm bạn cảm thấy tự ti khi giao tiếp với người đối diện. Nhưng nhờ phương pháp ...
Xem thêm
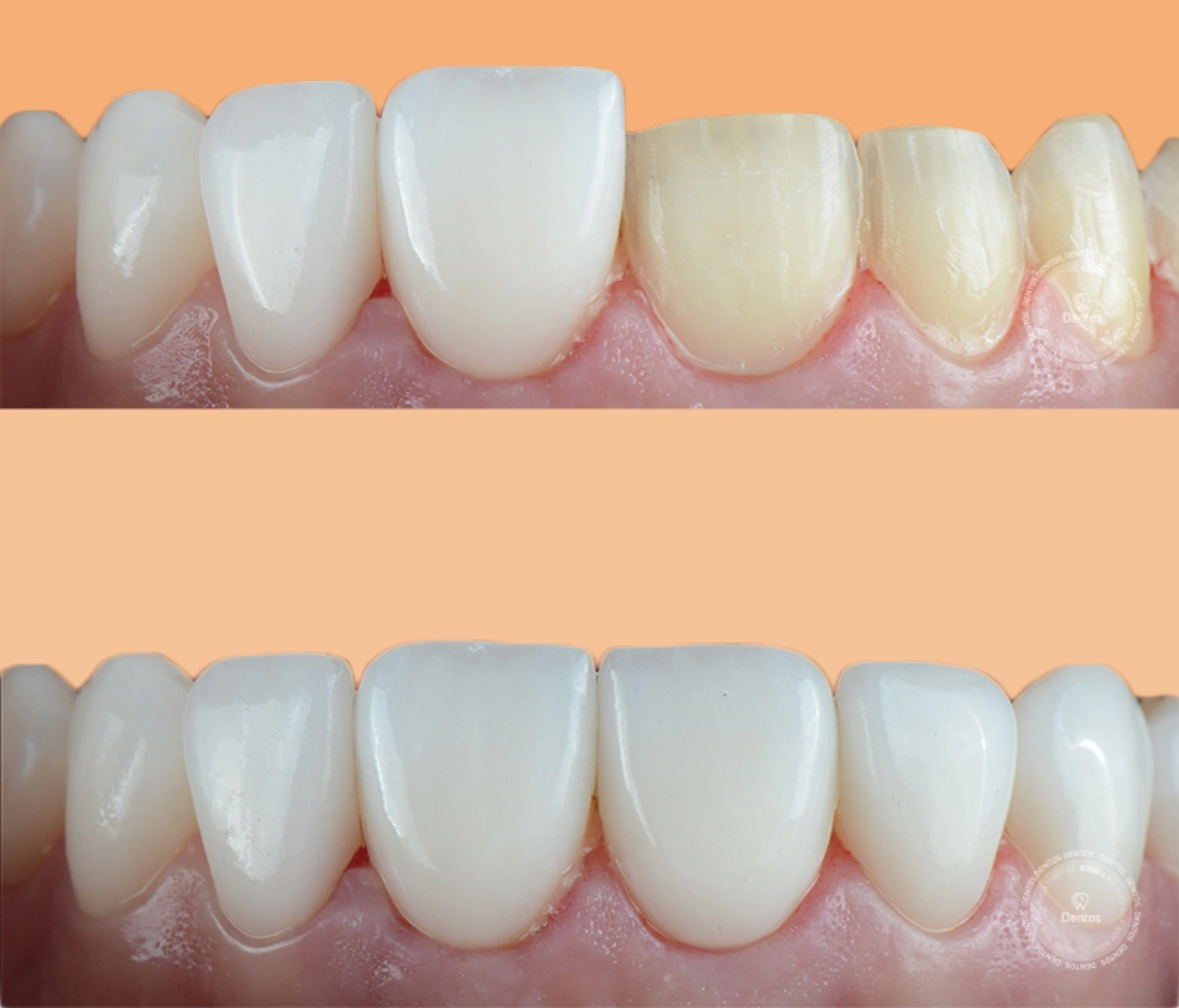
Dán răng sứ là phương pháp phục hình thẩm mỹ mang lại nhiều ưu điểm như vẻ đẹp tự nhiên, hạn chế tối đa mài ...
Xem thêm
Mài răng là kỹ thuật cần thiết trước khi bọc răng sứ thẩm mỹ để điều chỉnh hình dáng, kích thước của răng ...
Xem thêm
Sau khi bọc răng sứ, một số người có thể gặp phải tình trạng ê buốt kéo dài mà không biết tại sao. Để giải đáp ...
Xem thêm
Để duy trì vẻ đẹp và độ bền lâu dài cho răng sứ, bạn cần chú trọng đến việc chăm sóc răng sứ để giữ cho ...
Xem thêm
Dán răng sứ Veneer là phương pháp phục hình răng tiên tiến sử dụng miếng dán sứ siêu mỏng cố định lên bề mặt ...
Xem thêm
Dán sứ Veneer là kỹ thuật phục hình răng tiên tiến trong nha khoa với những ưu điểm vượt trội về thẩm mỹ, độ an ...
Xem thêm
Răng Cercon là dòng răng sứ không kim loại từ công nghệ của Đức, hiện đang được phân phối bởi Tập đoàn nha khoa ...
Xem thêm
Là vật liệu tiên phong của phương pháp bọc răng sứ thẩm mỹ, răng sứ kim loại được ưa chuộng bởi độ bền cùng ...
Xem thêm
Răng sứ Zirconia hiện nay được xem là lựa chọn lý tưởng hàng đầu cho phục hình răng thẩm mỹ bởi vẻ đẹp tự ...
Xem thêm
Là một trong những dòng răng sứ an toàn nhất thế giới, răng sứ Orodent Bleach được nhiều người dùng ưa chuộng không ...
Xem thêm
Dán sứ Veneer là phương pháp phục hình răng tiên tiến sử dụng lớp sứ siêu mỏng cố định lên mặt trước và rìa ...
Xem thêmX

