Bọc răng sứ là gì? Những thắc mắc thường gặp khi bọc răng sứ?
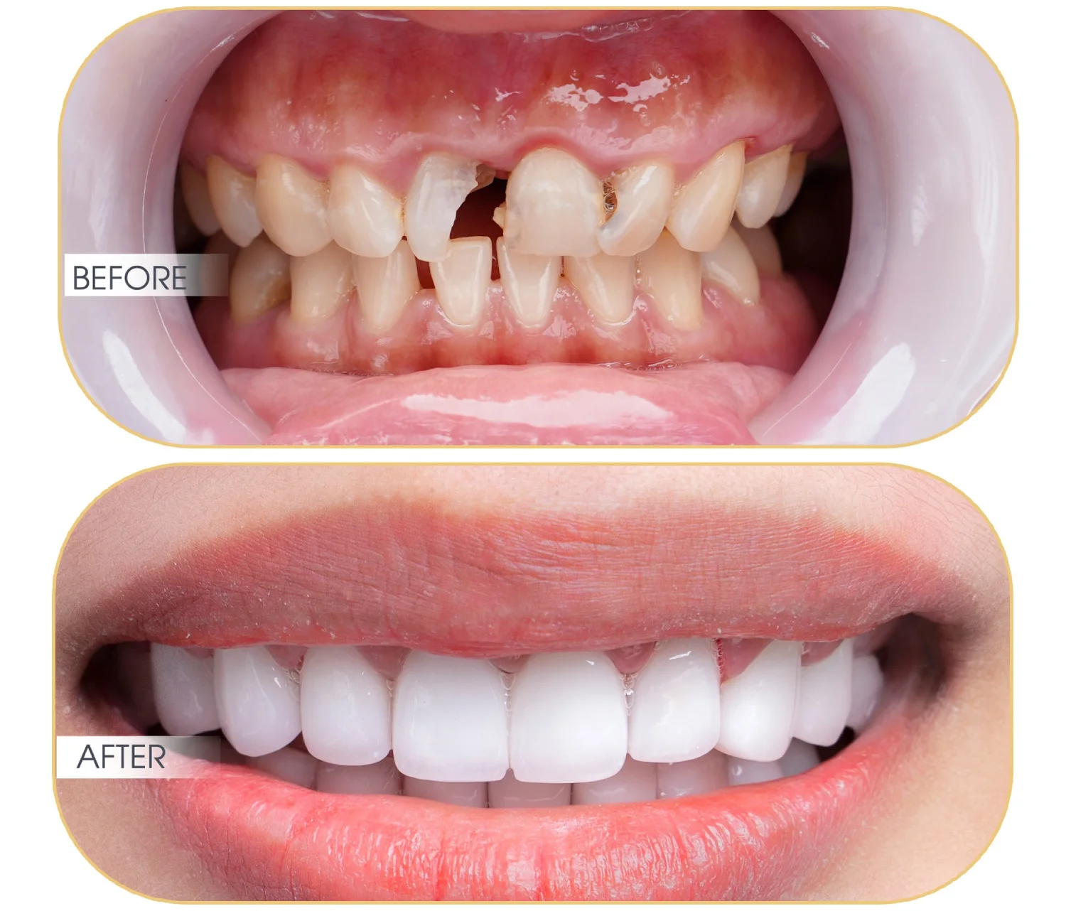
Bọc răng sứ là gì là, có tốt không?... là câu hỏi mà nha khoa Dentos thường xuyên nhận được từ khách hàng khi có nhu ...
Xem thêm
Bọc răng sứ là gì là, có tốt không?... là câu hỏi mà nha khoa Dentos thường xuyên nhận được từ khách hàng khi có nhu ...
Xem thêm
Bọc răng sứ là giải pháp hoàn hảo giúp phục hồi chức năng ăn nhai và cải thiện tính thẩm mỹ nhanh chóng chỉ sau 2 ...
Xem thêm
Răng sứ Zirconia là một trong những dòng răng sứ được yêu thích và sử dụng phổ biến hiện nay với 100% cấu tạo từ ...
Xem thêm
Bọc răng sứ thẩm mỹ là quá trình phục hồi răng phổ biến mang lại nhiều lợi ích về thẩm mỹ và chức năng ăn nhai. ...
Xem thêm
Giữa muôn vàng các sản phẩm răng sứ được quảng cáo tràn lan trên thị trường, nhiều khách hàng thắc mắc răng sứ ...
Xem thêm
Dán sứ Veneer là kỹ thuật phục hình răng tiên tiến sử dụng một lớp sứ siêu mỏng cố định bên ngoài bề mặt răng ...
Xem thêm
Bọc răng sứ lần 2 là lựa chọn khá phổ biến của nhiều người khi răng sứ cũ không còn đảm bảo được tính thẩm ...
Xem thêm
Răng sứ Orodent được mệnh danh là dòng răng sứ an toàn nhất thế giới bởi khả năng tương thích cao với răng thật ...
Xem thêm
Giữa muôn vàn những thông tin tích cực và tiêu cực về câu hỏi có nên bọc răng sứ hay không, đây chắc hẳn là thông ...
Xem thêm
Bọc răng sứ được biết đến như một phương pháp cải thiện vẻ đẹp và chức năng nhai của răng một cách nhanh ...
Xem thêm
Ngày nay, phương pháp bọc răng sứ thẩm mỹ đang được ưa chuộng rộng rãi nhằm giúp người dùng cải thiện chức năng ...
Xem thêm
Trên thị trường hiện nay, bảng giá răng sứ thẩm mỹ có thể dao động từ vài triệu đến vài chục triệu đồng một ...
Xem thêmX

