Hiểu về răng khấp khểnh - Răng khấp khểnh nên làm gì?
Răng khấp khểnh là hàm răng mọc chen chúc vào nhau, có thể làm sai lệch khớp hàm và suy giảm chức năng nhai của răng. ...
Xem thêm
Răng khấp khểnh là hàm răng mọc chen chúc vào nhau, có thể làm sai lệch khớp hàm và suy giảm chức năng nhai của răng. ...
Xem thêm
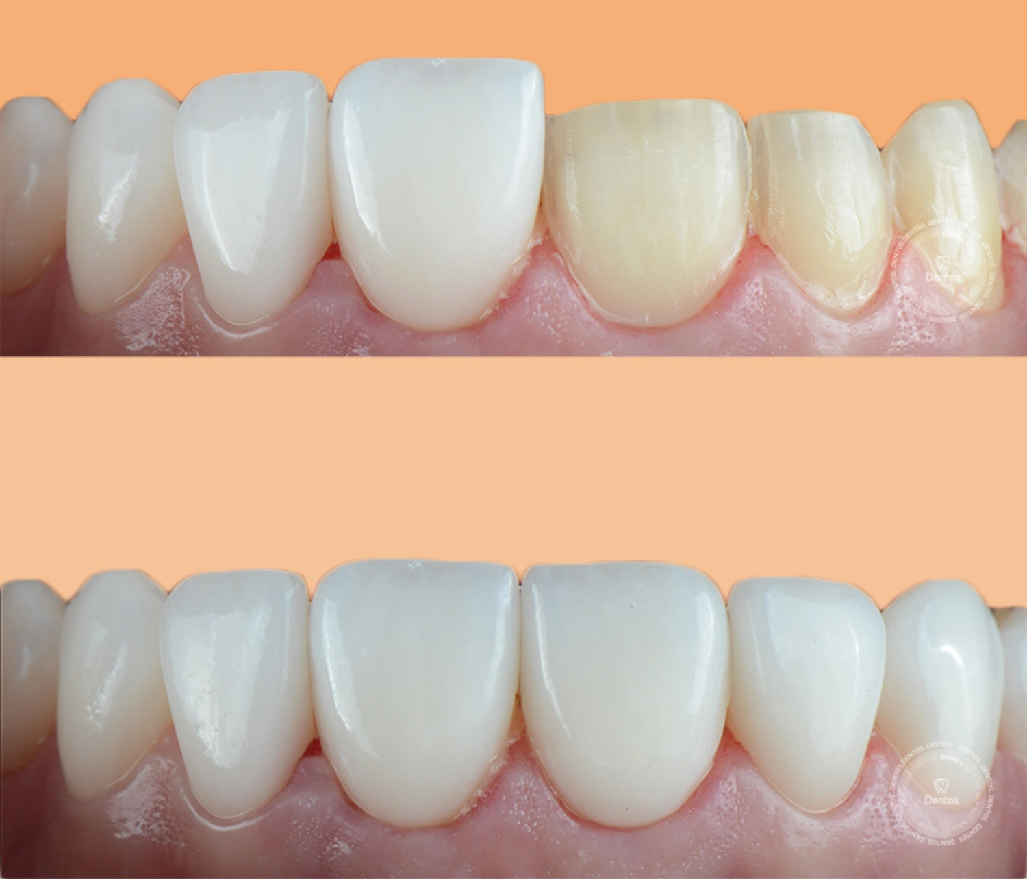
Làm răng sứ là phương pháp làm đẹp hiệu quả giúp cải thiện tính thẩm mỹ và đảm bảo chức năng ăn nhai tốt. Nhưng ...
Xem thêm
Bọc răng sứ là một trong những phương pháp đem lại nhiều lợi ích đối với việc cải thiện hình dáng, màu sắc cũng ...
Xem thêm
Dán mặt sứ Veneer là phương pháp sử dụng miếng sứ siêu mỏng nhẹ 0.3 - 0.5 mm có màu sắc giống với răng thật, được ...
Xem thêm
Người xưa có câu, "Cái răng cái tóc là góc con người". Bởi vậy, nhiều bạn tìm đến phương pháp bọc răng sứ để ...
Xem thêm
Dán mặt răng sứ đã trở thành xu hướng phổ biến trong việc cải thiện hình dáng và màu sắc của răng. Tuy nhiên, ...
Xem thêm
Dán răng sứ veneer và bọc răng sứ là hai phương pháp phục hình răng thẩm mỹ phổ biến được ưa chuộng hiện nay, giúp ...
Xem thêm
Bọc răng sứ là phương pháp phục hình mà nha sĩ sẽ tiến hành mài răng cốc thành cùi răng, sau đó bọc mão sứ lên trên ...
Xem thêm
Dán răng sứ Veneer là phương pháp điều chỉnh hình dáng và màu sắc của răng một cách tự nhiên mà không ảnh hưởng ...
Xem thêm
Răng sứ Cercon ht là loại răng sứ cao cấp được sản xuất tại Đức – quốc gia có nền nha khoa hàng đầu trên thế ...
Xem thêm
Răng sứ không chỉ có tác dụng phục hồi chức năng ăn nhai, mà còn góp phần quan trọng vào việc cải thiện nụ cười ...
Xem thêmTrong thời đại phát triển, ngày càng có nhiều người chăm chút cho hàm răng của mình trở lên trắng sáng, đều đẹp ...
Xem thêmX

