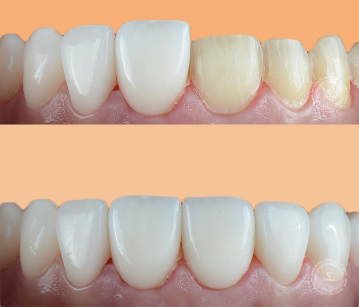
Bọc răng sứ Cercon: Giải pháp cho nụ cười hoàn mỹ
Một hàm răng bị nhiễm màu, ố vàng, sứt mẻ, hô móm… sẽ ảnh hưởng không nhỏ tới tính thẩm mỹ và sự tự tin ...
Xem thêm
Một hàm răng bị nhiễm màu, ố vàng, sứt mẻ, hô móm… sẽ ảnh hưởng không nhỏ tới tính thẩm mỹ và sự tự tin ...
Xem thêm
Răng sứ HT Smile là một trong những dòng răng toàn sứ phổ biến hiện nay nhờ tính thẩm mỹ cao và khả năng phục hồi ...
Xem thêm
Làm răng sứ không chỉ giúp nâng cao vẻ đẹp của nụ cười mà còn cải thiện hàm răng, giúp người đeo tự tin hơn trong ...
Xem thêm
Bọc răng sứ là một trong những phương pháp phục hình răng phổ biến hiện nay giúp cải thiện nụ cười và chức năng ...
Xem thêm
Dán sứ Veneer không mài răng là một phương pháp thẩm mỹ nha khoa được nhiều người quan tâm bởi có thể khắc phục ...
Xem thêm
Răng sứ kim loại là một trong những dòng răng sứ đầu tiên được ứng dụng trong nha khoa thẩm mỹ, giúp khắc phục các ...
Xem thêm
Với chất lượng thẩm mỹ vượt trội cùng độ bền cao, răng sứ Cercon trở thành một trong những lựa chọn hàng đầu ...
Xem thêm
Bọc răng sứ là một trong những phương pháp phục hình được yêu thích hiện nay bởi tính thẩm mỹ cao và khả năng cải ...
Xem thêm
Sứ Cercon HT là dòng răng sứ cao cấp được nhiều người lựa chọn, kể cả doanh nhân và người nổi tiếng bởi những ...
Xem thêm
Tủy răng là bộ phận quan trọng nằm sâu bên trong răng chứa các mạch máu, dây thần kinh và mô liên kết của răng. Do ...
Xem thêm
Trên thị trường hiện có 2 loại răng sứ chính là răng sứ kim loại và răng sứ toàn phần. Bên cạnh đó, mỗi loại ...
Xem thêm
Dán sứ Veneer là phương pháp phục hình răng thẩm mỹ và cải thiện chức năng ăn nhai hiệu quả, nhưng không gây xâm lấn ...
Xem thêmX

