Bật mí địa chỉ bọc răng sứ tốt tại TP.HCM
Kỹ thuật bọc răng sứ là quá trình phức tạp đòi hỏi đội ngũ nha sĩ có chuyên môn cao, chất liệu sứ chính hãng và ...
Xem thêm
Kỹ thuật bọc răng sứ là quá trình phức tạp đòi hỏi đội ngũ nha sĩ có chuyên môn cao, chất liệu sứ chính hãng và ...
Xem thêm
Bọc răng sứ và trồng răng sứ là hai phương pháp phổ biến được sử dụng để cải thiện thẩm mỹ và chức năng nhai ...
Xem thêm
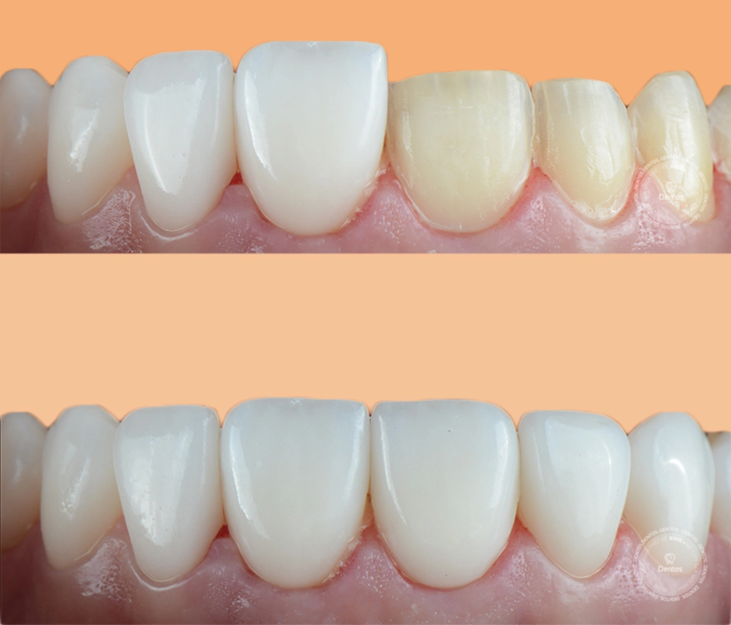
Dán sứ Veneer hiện đang là lựa chọn phổ biến của nhiều khách hàng nhằm khôi phục tính thẩm mỹ cho các trường hợp ...
Xem thêm
Răng sứ titan và răng toàn sứ là 2 loại răng sứ được nhiều khách hàng quan tâm hiện nay. Giữa chúng có những đặc ...
Xem thêm
Bọc răng sứ là một phương pháp phục hình răng hiệu quả để cải thiện vẻ ngoại hình và chức năng của răng. Việc ...
Xem thêm
Bọc răng sứ là giải pháp giúp khắc phục các vấn đề liên quan đến hình dáng, màu sắc và chức năng của răng. Sau khi ...
Xem thêm
Răng sứ Zirconia được nhiều khách hàng yêu thích không chỉ bởi vẻ đẹp tự nhiên và khả năng chịu lực tốt, mà còn ...
Xem thêm
Dán sứ Veneer là kỹ thuật phục hình răng tiên tiến được nhiều người ưa chuộng, giúp cải thiện tính thẩm mỹ cho ...
Xem thêm
Nhiều người chia sẻ làm răng sứ bị đau khi nhai trong một khoảng thời gian dài và gây ra rất nhiều khó khăn trong quá ...
Xem thêm
Răng khấp khểnh là biểu hiện của răng mọc không đều, mọc không đúng vị trí lý tưởng trên cung hàm theo chiều trong ...
Xem thêm
Mặt dán sứ Veneer IPS Emax là một trong những ứng cử viên sáng giá được người tiêu dùng yêu thích và các chuyên gia ...
Xem thêm
Răng sứ Cercon là một sản phẩm từ công nghệ của Đức hiện được phân phối bởi Tập đoàn nha khoa hàng đầu thế ...
Xem thêmX

