Giải đáp bọc răng sứ sau này có ảnh hưởng gì không?
Nhiều người đang cân nhắc bọc răng sứ thường lo lắng "bọc răng sứ sau này có ảnh hưởng gì không?". Đó là nỗi lo lắng về sức khỏe lâu dài, về những biến chứng và liệu khoản đầu tư cho nụ cười hôm nay có trở thành gánh nặng trong tương lai hay không. Trong bài viết này, Dentos sẽ phân tích thẳng thắn các rủi ro khi bọc răng sứ thẩm mỹ và chỉ rõ cho bạn thấy: "ảnh hưởng" tiêu cực khi bọc răng sứ không đến từ bản thân phương pháp mà đến từ việc bạn chọn sai nơi thực hiện.
1. Những ảnh hưởng tiêu cực khi bọc răng sứ sai kỹ thuật
Thực tế, các ảnh hưởng tiêu cực mà bạn nghe nói đến khi tìm hiểu các thông tin về bọc răng sứ không phải là tin đồn. Tuy nhiên, những rủi ro khi bọc răng sứ này đều xuất phát từ sai sót trong kỹ thuật và vật liệu kém chất lượng tại các cơ sở không uy tín:
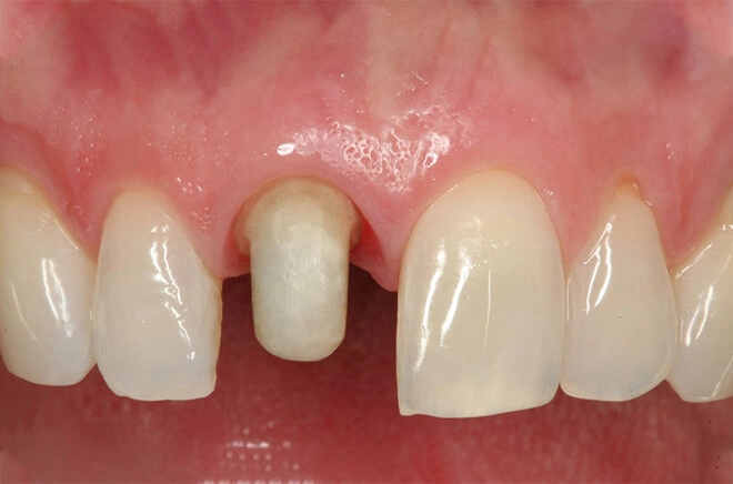
- Răng thật bị xâm lấn quá mức, gây ê buốt, chết tủy: Đây là hậu quả nghiêm trọng nhất. Nếu bác sĩ mài răng quá nhiều, xâm phạm vào cấu trúc ngà răng nhạy cảm hoặc thậm chí vào buồng tủy, bạn sẽ phải đối mặt với tình trạng ê buốt kéo dài, đau nhức và nguy cơ răng thật bị chết tủy, trở nên giòn yếu từ bên trong.

- Viêm nướu, hôi miệng dai dẳng: Nguyên nhân chính là do mão sứ không được chế tác và lắp đặt khít sát với cùi răng thật. Khe hở dù chỉ siêu nhỏ cũng là nơi lý tưởng cho vi khuẩn và mảng bám tích tụ, gây viêm nướu mãn tính, chảy máu chân răng và mùi hôi miệng khó chịu.
- Sai lệch khớp cắn, ăn nhai khó khăn, đau mỏi hàm: Việc lấy dấu hàm không chính xác hoặc bác sĩ không tinh chỉnh khớp cắn kỹ lưỡng sau khi gắn sứ sẽ khiến răng sứ bị cộm, vênh. Lực nhai bị dồn ép sai lệch, lâu dần gây khó khăn khi ăn uống, đau mỏi cơ hàm và có thể dẫn đến rối loạn khớp thái dương hàm.
- Răng sứ dễ nứt vỡ, bong sút: Sử dụng vật liệu sứ kém chất lượng, không rõ nguồn gốc hoặc kỹ thuật gắn sứ không đảm bảo có thể khiến mão sứ dễ bị nứt vỡ khi ăn nhai hoặc bong sút đột ngột, gây nguy hiểm. Đây là một ảnh hưởng tiêu cực mà nhiều người lo lắng khi hỏi bọc răng sứ sau này có ảnh hưởng gì không.

2. Bọc răng sứ sau này có ảnh hưởng gì không khi làm tại Nha Khoa Dentos?
Tại nha khoa Dentos, chúng tôi kiểm soát và loại bỏ triệt để các nguyên nhân gây ra rủi ro ngay từ gốc:
Bảo tồn Tối Đa Răng Thật (Khắc phục nguy cơ chết tủy): Với triết lý bảo tồn răng gốc tối đa, đội ngũ bác sĩ Chuyên khoa II tại Dentos chỉ mài răng trong tỉ lệ an toàn tuyệt đối. Chúng tôi không bao giờ xâm lấn quá mức vào răng thật chỉ vì mục đích thẩm mỹ nhất thời. Cái tâm của người bác sĩ là giữ gìn sức khỏe răng gốc cho bạn.
Độ Khít Sát Hoàn Hảo (Khắc phục nguy cơ viêm nướu, hôi miệng): Dentos ứng dụng công nghệ số hóa toàn diện. Máy quét 3D trong miệng (iTero 5D) lấy dấu chính xác từng micromet. Hệ thống Labo CAD/CAM tại chỗ chế tác mão sứ khít sát tuyệt đối, tạo thành một lớp áo giáp liền mạch, ngăn chặn vi khuẩn xâm nhập.

Khớp Cắn Chuẩn Xác (Khắc phục nguy cơ sai khớp cắn): Chúng tôi không dựa vào cảm tính. Máy phân tích khớp cắn kỹ thuật số T-Scan đảm bảo lực nhai được phân bổ đều, giúp bạn ăn nhai thoải mái và bảo vệ khớp hàm.
Vật liệu Chính Hãng, Chất Lượng Cao (Khắc phục nguy cơ nứt vỡ): Dentos cam kết chỉ sử dụng các dòng răng sứ thẩm mỹ toàn sứ cao cấp (Orodent, Cercon ht, DDBio Zirconia,...) nhập khẩu chính hãng, có thẻ bảo hành rõ ràng, đảm bảo độ bền và an toàn tuyệt đối.
3. Lợi ích lâu dài của việc bọc răng sứ đúng chuẩn y khoa
Khi bạn được thực hiện đúng chuẩn y khoa, việc bọc răng sứ không những không gây ảnh hưởng xấu mà còn mang lại nhiều lợi ích sức khỏe tích cực về lâu dài, giúp bạn không còn lo lắng bọc răng sứ sau này có ảnh hưởng gì không:
Bảo vệ Răng Thật: Đặc biệt với răng đã vỡ lớn hoặc điều trị tủy, mão sứ giúp bảo vệ cấu trúc răng còn lại khỏi nguy cơ nứt gãy và vi khuẩn tấn công.
Phục hồi Chức năng Ăn Nhai: Giúp bạn ăn nhai hiệu quả hơn, cải thiện quá trình tiêu hóa.
Cải thiện Thẩm mỹ và Sự Tự Tin: Mang lại nụ cười rạng rỡ, hài hòa, góp phần cải thiện chất lượng cuộc sống và giao tiếp thông qua răng sứ thẩm mỹ.

4. Nha Khoa Dentos cam kết một tương lai an toàn khi bọc răng sứ
Lựa chọn bọc răng sứ không phải là một quyết định chớp nhoáng mà là một cam kết cho sức khỏe dài lâu. Đừng để nỗi sợ về rủi ro khi bọc răng sứ ngăn cản bạn. Hãy để nỗi sợ đó dẫn bạn đến một lựa chọn đúng đắn: chọn một nha khoa có tâm để tư vấn đúng và có tầm để thực thi an toàn. Việc này sẽ giúp bạn hoàn toàn an tâm về vấn đề bọc răng sứ sau này có ảnh hưởng gì không.
Uy tín của Dentos đã được chứng thực khi là TOP 1 Nha khoa có sản lượng tiêu thụ răng sứ Orodent và Cercon chính hãng lớn nhất Việt Nam, được chứng nhận bởi Dentsply Sirona. Chúng tôi tự tin cam kết về một kết quả răng sứ thẩm mỹ an toàn và bền vững cho bạn.
Hãy liên hệ ngay với Dentos qua Hotline: 0935 666 639 để được các chuyên gia tư vấn miễn phí!
Xem thêm:





